Sign In
Home
Contact Us
Membership
Meetings
Who are the VCS?
Heart Screening
Find a Heart Screening Cardiologist
News
Routes to post graduate qualifications
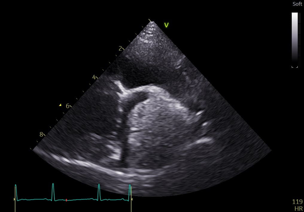
What is the most likely differential diagnosis?
Chemodectoma
Haemangiosarcoma
Myxoma
Leyomyoma